Пара смешных фоток (24 онлайн)

  • Автор темы Автор темы SoNick
  • Дата начала Дата начала
@Р.В., казалось - бы делись, но если поинтересоваться гуглом, видно что иногда их кто-то печатает по адским ценам. Аднака на Авито иногда можно гуманно закупиться старыми-добрыми выпусками. (Сам о прошлом годе так и поступил по ностальжи).
 
  • Like
Реакции: Р.В.
Аднака на Авито
upload_2017-8-29_21-47-17.png Спасибо, точно есть
 
  • Like
Реакции: digisystem
Я в свои 20 лазил.) Конкретно. (причём на 2-й этаж ))
Ну, раз все признаются... Я тоже лазил. На 2й, ага. Или на 3й даже... Не помню. Помню, что сначала была крыша крыльца (метра 3 высотой - на неё по в/сточной трубе). Дальше - не помню. От чего-то. Тут помню, а тут...
А вот как слазил... Ууууууу... Это вот история была та ещё.
 
Последнее редактирование:
  • Like
Реакции: digisystem и Vosk
@Spartak, о гнусной статейке Максима !@#$%^ Горького - она ведь стала на долгие годы практическим руководством к действию для красных комиссаров от культуры... Там было еще выдающееся определение "Джаз - музыка толстых".

ЕМНИП, учебник по теории музыки, по которому учился мой брат (издание 1948), начинался именно с этого эпиграфа. Уроды...

Но не помогло - мой брат стал стилягой ))) Запретный плод всегда слаще )))
 
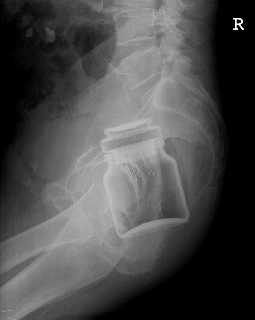
Strange object 01.jpg Strange object 02.jpg Strange object 03.jpg Strange object 07.jpg Strange object 10.jpg Подборка странных предметов, обнаруженных в человеческом теле. Пожалуй, элемент смешного присутствует ))) Хотя "носителям" вряд ли до смеха. )) Впрочем, кто им виноват?
 
@Long, нельзя же так, аж передернуло всего ))

мда, а проецирование у Горького забавное, и кто там сошел с ума на сексуальной почве?.. ;)
 

Сейчас просматривают